Space News & Blog Articles
Tune into the SpaceZE News Network to stay updated on industry news from around the world.
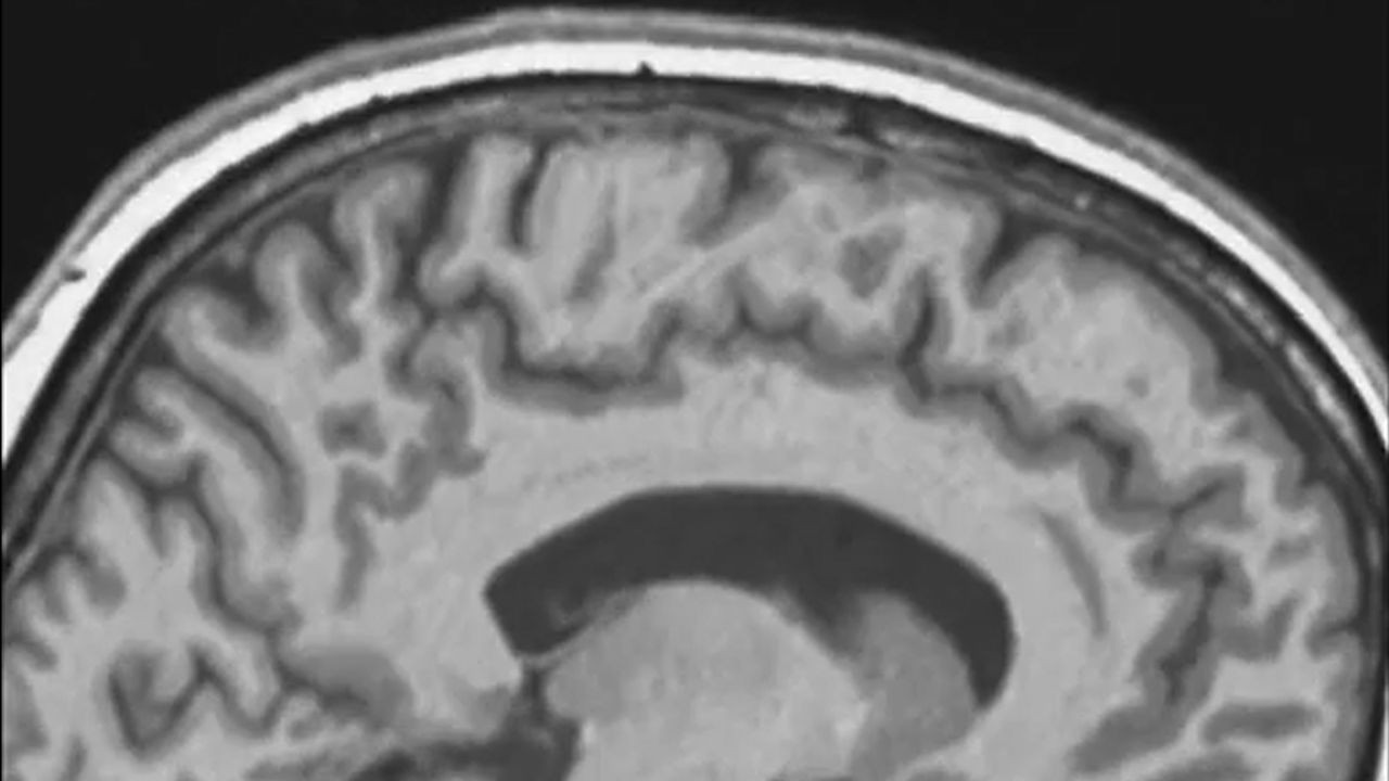
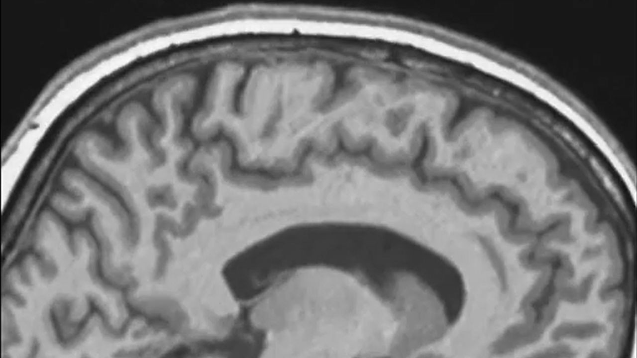
'Backward and upward and tilted': Spaceflight causes astronauts' brains to shift inside their skulls
Space apparently changes your frame of mind in more ways than one.
Stay Informed
When you subscribe to the SpaceZE News Feed, we will send you an e-mail when there are new updates on the site so you wouldn't miss them.

